SIMDENSITY: A Breakthrough in Implantology Diagnostics
- paulinaprochorowsk3
- Jan 17, 2024
- 2 min read
Innovative Solution in Dental Implantology
SIMDENSITY, a project developed under the direction of Sebastian Bandycki, is changing the face of diagnostics in dental implantology. Based on a business model that utilizes micropayments (pay per use) and subscriptions, the company offers an image diagnostic analysis support service for dentists, especially those specializing in implantology.
Uniqueness of the Service
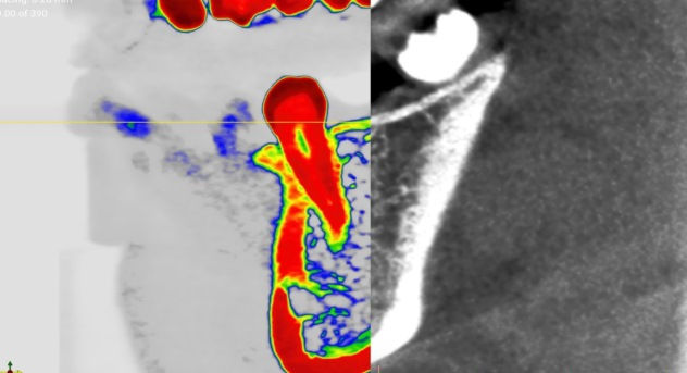
SIMDENSITY uses standard imaging data from computed tomography (CBCT), providing doctors with previously unattainable knowledge about the bone density of the jaw and mandible. As a result, doctors can make more informed decisions regarding implant placement procedures.
Technology and Offer
Relying on AI technology and computerized image analytics, SIMDENSITY offers a calibrated measurement of bone density in absolute units of g/cm³. Doctors receive a tool that enables precise treatment planning and surgical navigation. The system, operating in a cloud model (SaaS), is the first in the world to allow non-invasive measurement of bone tissue density in the planning stage of implantation procedures.
Collaboration and Development
SIMDENSITY collaborates with scientific centers, opinion leaders, dental implant manufacturers and distributors, and also uses industry media and social media to promote its service. The company also plans to participate in conferences, trade fairs, and other industry events.
SIMDENSITY is revolutionizing the implantology industry by offering precise and reliable methods for assessing bone condition. Its unique business model, based on fees for performed examinations only, makes the service accessible to a wider range of specialists. With the growing demand for high-quality implantology services, SIMDENSITY is becoming a key player in the industry, offering solutions that increase patient safety and treatment effectiveness. The innovative approach to diagnostics, the use of advanced AI technology and image analytics, and the lack of financial and equipment entry barriers for doctors, make SIMDENSITY a tool of the future in dental implantology.





Comments